B1& B2, Sector 23, Sanjay Nagar, Ghaziabad, Uttar Pradesh 201002

+917015731540

drsaurabhbiswascardiologist@gmail.com

Angioplasty/Stenting

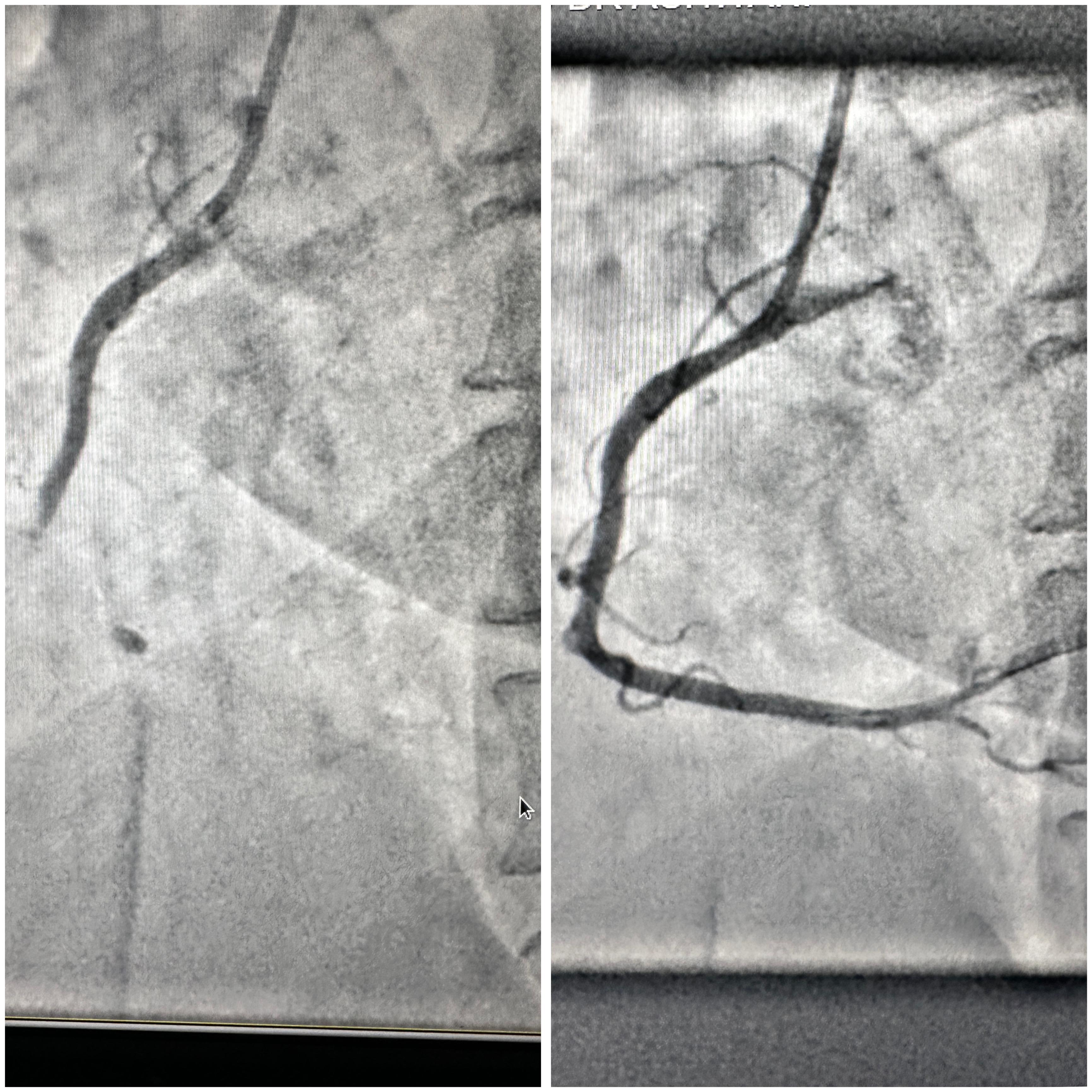
Angioplasty, also called Percutaneous Coronary Intervention (PCI), is a medical procedure used to open narrowed or blocked arteries in the heart. It restores blood flow and helps prevent heart attacks or other cardiac emergencies.

A thin tube called a catheter is inserted through an artery—usually in the groin, wrist, or arm. At the tip of the catheter, there's a small balloon. Once it reaches the blocked artery, the balloon inflates. This pushes plaque against the artery walls, widening the passage.

What Is a Stent?

A stent is a tiny mesh tube placed in the artery during angioplasty. It keeps the artery open long-term. Most modern stents are drug-eluting, meaning they slowly release medication to prevent re-narrowing.

When Is Angioplasty Recommended?

  • Have blocked or narrowed coronary arteries
  • Experience chest pain (angina)
  • Suffer a heart attack
  • Don’t respond to medication
  • Need fast relief from restricted blood flow

Quick action can save heart muscle and prevent permanent damage.

Step-by-Step: What to Expect

  • Preparation: You’ll fast for several hours. The area of catheter insertion is cleaned and numbed.
  • Insertion: A catheter is threaded to the coronary artery.
  • Balloon Inflation: The balloon expands to push plaque aside.
  • Stent Placement: A stent is placed to hold the artery open.
  • Completion: The catheter is removed, and the site is bandaged.

The procedure takes 30 to 90 minutes and is done under local anesthesia with mild sedation.

Recovery After Angioplasty

  • You’ll rest for several hours post-procedure.
  • Mild soreness or bruising at the insertion site is common.
  • Most patients are discharged the same day or the next.
  • You’ll need to avoid heavy lifting for a few days.
  • Doctors will prescribe medications to prevent clots and reduce future risks.

Benefits of Angioplasty and Stenting

  • Restores normal blood flow
  • Rapid relief from chest pain
  • Reduces the risk of heart attack
  • Short recovery time
  • Minimally invasive compared to surgery

This procedure often improves quality of life almost immediately.

Risks and Complications

While safe, some risks include:

  • Bleeding or infection at the catheter site
  • Re-narrowing of the artery (in-stent restenosis)
  • Blood clots inside the stent
  • Heart attack or stroke (rare)

Proper medication and follow-up care reduce most of these risks.

Lifestyle After Stenting

  • Take prescribed medications regularly
  • Quit smoking if you haven’t already
  • Eat a heart-healthy diet
  • Exercise regularly under doctor supervision
  • Keep blood pressure, cholesterol, and sugar in check

A healthy lifestyle supports stent function and heart health.

Doctor Image

Dr. Saurabh Biswas

MBBS, MD General Medicine
DrNB Cardiology, FSCAI
Consultant Interventional Cardiologist

Book Appointment